Imagine your little one wincing at a spoonful of yogurt; heartbreaking, right? A root canal for baby teeth gently removes the infected pulp, cleans the tiny canals, fills them with safe, dissolvable material, and caps them with a sturdy crown, all in one quick visit. Parents love how it stops pain fast and protects that precious smile until permanent teeth arrive. Ready to swap tooth drama for happy grins? Dive in, your answers await!
What Exactly Is a Root Canal for Baby Teeth?

Root canal for baby teeth is a gentle dental treatment that removes the infected or inflamed pulp, the soft living tissue inside your child’s primary tooth’s root canals. It saves a badly decayed or damaged baby tooth from falling out too soon, stops the pain, prevents a yucky abscess, and keeps everything in place so the permanent tooth grows just right. Your little one’s smile stays happy and healthy!
Want to know how pediatric dental procedures keep kids’ smiles healthy and prevent cavities? Check out Common Pediatric Dental Procedures to learn how they are designed to make each visit comfortable.
Warning Signs Your Child May Need One

Spot these red flags early. Your kid’s tooth might need quick help!
- Non-stop tooth pain: Hurts even without touching food or drinks.
- Hot or cold sensitivity: Your kid yelps at ice cream or warm soup.
- Swollen gums or a gum boil: A red bump near the tooth with pus.
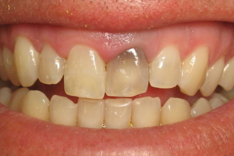
- Dark or gray tooth: Color change signals dying pulp.
- Pain at night: Wakes your child or keeps them restless.
- Loose tooth too early: Wobbles way before it should fall out.
Read more: “Pediatric Dental Care Myths vs. Facts: Setting the Record Straight”
Causes of Pulp Infection in Baby Teeth
Pulp infections often start when deep cavities reach the soft center of a tooth. Hard bumps during play or repeated dental work can also weaken the tooth and let germs in. Even small cracks or skipping dental hygiene routines can give bacteria a chance to grow and cause infection.
Your Child’s Root Canal Adventure: Step-by-Step
Your pediatric dentist keeps things calm, quick, and cozy every step of the way for a root canal for baby teeth.
Quick Check and X-Rays

The dentist gently checks the tooth and takes easy X-rays to see what’s going on inside. Your child relaxes, maybe with a video, while the team spots the trouble fast. This step makes sure the plan fits perfectly.
Protect Your Child’s Smile Today!
Here at Smile Avenue Dentistry, our caring pediatric dentists make root canal for baby teeth stress-free and effective. Don’t wait, keep your child’s teeth healthy and strong!
Easy Numbing
A bit of sweet gel, then a fast pinch; the tooth goes completely numb. Laughing gas adds extra calm if your kid wants it, and you stay right there. Kids feel just a little pressure, nothing more.
Small Opening
The dentist needs to get to the inner part of the tooth, called the pulp, where the infection or decay is. To do that, they make a very small hole on the top of the tooth using safe, precise tools. A soft rubber shield (called a dental dam) is placed around the tooth to keep it clean and dry, and to prevent saliva or germs from getting in.
This step allows the dentist to reach the infected area inside the tooth safely and comfortably, without causing extra pain or mess.
Gentle Cleaning
Small tools and warm rinses clear out the infection and germs. The dentist double-checks with close-up views to leave the canals sparkling. Pain vanishes, and healing starts right away.
Safe Filling
After cleaning out the infection, the empty space inside the tooth needs to be filled so bacteria can’t get back in. The dentist uses a soft, safe filling material that goes into the canals of the tooth. For baby teeth, this material is designed to dissolve naturally when the tooth eventually falls out, so it won’t affect the permanent tooth coming in.
This seals the tooth tightly, protects it, and keeps it healthy until it’s time for it to fall out naturally.
Strong Crown
A shiny stainless steel crown fits snugly over the tooth like a tough helmet. It lets your child bite, chew, and grin with confidence again. They leave ready for normal fun.
Don’t know how to prepare your child for their first trip to the dentist? Take a look at Child First Dental Visit to learn some practical tips as a parent.
Benefits of Root Canal for Baby Teeth
This treatment stops pain fast and lets your child eat, speak, and play normally again. It holds the perfect spot for the permanent tooth to grow straight. Early rescue avoids bigger problems like crooked bites or spacing. Your kid keeps their natural smile confident and worry-free.
Aftercare and Recovery

Your child bounces back quickly with these simple aftercare steps; most feel great the same day.
- First 24 hours: Stick to soft foods like yogurt or mashed potatoes; skip crunchy snacks.
- Pain relief: Give ibuprofen or acetaminophen as the dentist advises if any soreness pops up.
- Gentle brushing: Use a soft toothbrush and avoid the treated area for a day or two.
- Watch for issues: Call an emergency dentist if swelling lasts or fever starts; these rarely happen.
- Follow-up visit: Return in a week or as scheduled to check the crown fits perfectly.
Common Myths vs. Facts
Many parents hear scary stories about kids’ root canals. Let’s clear up the myths with real facts!
| Myth | Fact |
|---|---|
“Just pull the baby tooth!” | Saving it prevents shifting teeth and future braces headaches. |
“It hurts a lot.” | Modern numbing and gas make it painless, kids often watch shows during! |
| “Too much for little kids.” | Safe for ages 2+, with techniques tailored just for them. It depends on the case. |
| “Crowns look weird.” | Stainless steel blends in and protects like a superhero shield. |
Want to learn more about baby teething and when it begins? Visit Baby Teething Symptoms to find out some soothing tips and how you can support your baby’s smile with confidence.
Ready to Protect Your Child’s Smile?
A root canal for baby teeth truly works wonders: it banishes pain, guards your child’s developing smile, and sets the stage for strong permanent teeth ahead. Are your children suffering from dental problems? Smile Avenue Dentistry is here to provide a stress-free, compassionate environment for your little ones with their experienced pediatric dentists in North York. Book an appointment at Pediatric Dentist North York.
FAQ
Will my child need a crown after a root canal for baby teeth?
Yes, a stainless steel crown keeps the tooth strong and protects it from everyday bites and grinds.
How young is too young for a root canal
None! Pediatric dentists safely perform it on toddlers as young as 2 when decay reaches the pulp.
Is the filling material safe for kids?
Totally safe. The dentist uses a gentle, soft paste that dissolves on its own when the tooth falls out. No worries at all.
How soon can my kid eat normally again?
Soft snacks right away; full munching starts the next day once the crown feels solid.
Can a root canal for baby teeth prevent future braces?
It really helps! Keeping the baby tooth in place guides the permanent one straight, so there is less chance you need braces later.
Have questions about root canal treatment for your little one? Share your thoughts or experiences in the comments below. We’d love to hear from you!